Katarzyna Olczak i Halina Pawlicka
Radiologiczne obrazowanie systemu kanałów korzeniowych jest koniecznym elementem etapu diagnostyki, leczenia i kontroli pozabiegowej terapii endodontycznej. Stomatolodzy wykorzystują w endodoncji głównie wewnątrzustne zdjęcia zębowe. Celem pracy jest przedstawienie możliwości wykorzystania obrazowania rentgenowskiego w trakcie leczenia kanałowego.


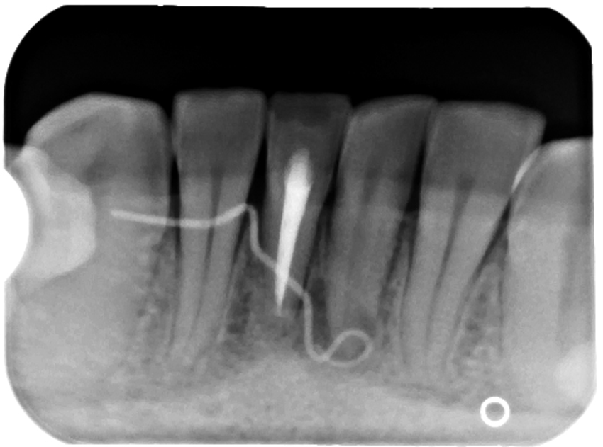
Ryc. 7. Zdjęcie zębowe zęba 31 oraz umieszczonego w przetoce ćwieka gutaperkowego. Wierzchołek ćwieka znajduje się w okolicy wierzchołka korzenia zęba 31.
Radiological diagnosis in endodontics
Radiological imaging of root canal systems is an essential element at the stages of diagnosis, treatment and post-operative control in endodontic treatment. Dentists use mainly intraoral radiographs of teeth in endodontics. The aim of the study is to indicate the possibilities in using radiographic imaging during the course of endodontic treatment.
Artykuł ukazał się w nr. 7-8/2015 MS
KUP ARTYKUŁ
Artykuł ukazał się w nr. 7-8/2015 MS
KUP ARTYKUŁ