Kornel Krasny i Marta Krasny
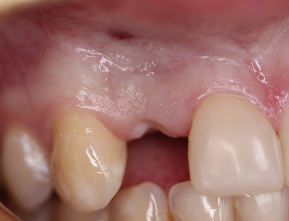
Pacjentka 24-letnia zgłosiła się do gabinetu z powodu rozchwiania I˚ oraz przebarwienia korony zęba 12. Badaniem tomografii komputerowej stwierdzono resorpcję zewnętrzną korzenia tego zęba, co kwalifikowało go do ekstrakcji. W miejscu braku zębowego zaplanowano stałą odbudowę implantoprotetyczną.
Jednocześnie z implantacją przeprowadzono augmentację kości allogennym bloczkiem kostnym w wymiarze pionowym i poprzecznym.

Vertical and horizontal augmentation of dental alveolar bone defect using a bone allogeneic block
A 24-year-old female presented at the dental office because of class I˚ mobility and discolouration of crown of tooth 12. Examination using computed tomography confirmed external resorption of the root which qualified it for extraction. In the place of the missing tooth a permanent restoration was planned using implant prosthetics.
Concurrently with the implant, augmentation of bone was carried out using an allogenic bone block vertically and transversally.
Artykuł ukazał się w nr. 4/2016 MS
Vertical and horizontal augmentation of dental alveolar bone defect using a bone allogeneic block
A 24-year-old female presented at the dental office because of class I˚ mobility and discolouration of crown of tooth 12. Examination using computed tomography confirmed external resorption of the root which qualified it for extraction. In the place of the missing tooth a permanent restoration was planned using implant prosthetics.
Concurrently with the implant, augmentation of bone was carried out using an allogenic bone block vertically and transversally.
Artykuł ukazał się w nr. 4/2016 MS