Luiza Grzycka‑Kowalczyk
Zatoki oboczne nosa są pneumatycznymi przestrzeniami w kościach części twarzowej czaszki połączonymi z jamą nosową. Zatoki biorą czynny udział w wymianie gazowej, ogrzewają i nawilżają powietrze wydychane przez nos, wytwarzają rezonans dźwiękowy oraz pełnią funkcje ochronne. 
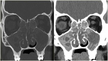
Diagnostyka obrazowa zatok staje się coraz bardziej istotna dla lekarzy dentystów, którzy posiadają w swoich gabinetach aparaty tomografii stożkowej (CBCT). W zależności od wielkości pola obrazowania w CBCT są widoczne fragmenty zatok szczękowych aż po całe zatoki szczękowe, a w badaniach o największym polu obrazowania wszystkie zatoki oboczne nosa, podobnie jak w badaniu medycznej tomografii komputerowej (TK). Z tego względu celem pracy jest przedstawienie najważniejszych zmian patologicznych zatok szczękowych, z którymi może się spotkać lekarz stomatolog, opisując badania tomografii stożkowej (CBCT).
Czytaj więcej: w numerze 5/2017 Magazynu Stomatologicznego