MS 2020; 2: 52-55
Odbudowa zęba siecznego bocznego szczęki na wkładzie z włókna szklanego 
Maxillary second incisor restoration using a fiber post
Kaja Wichrowska-Rymarek
Odbudowa zachowawcza z wykorzystaniem indeksu silikonowego jest standardem w rekonstrukcjach zębów przednich w przypadku znacznej utraty tkanek twardych. W pracy przedstawiono przypadek odbudowy korony klinicznej zęba 22, utraconej w wyniku urazu. Zastosowanie wkładu koronowo-korzeniowego z włókna szklanego dało możliwość stworzenia solidnej podbudowy pod planowane leczenie protetyczne.
Abstract
A conservative restoration with a silicone index is a standard in treatment of anterior teeth, in case of a significant hard tissue loss. This is a case study of a clinical crown restoration of the tooth 22, which was lost in an injury. Utilising a crown-tooth post of fiberglass created a firm framework for a subsequent prosthetic treatment.
Hasła indeksowe: wkład w włókna szklanego, materiał kompozytowy, odbudowa bezpośrednia
Key words: fiber post, composite material, direct restoration
Wstęp
Urazowe uszkodzenia zębów stałych, zwłaszcza w odcinku przednim, są dla pacjentów niezwykle trudną sytuacją. Do gabinetu stomatologicznego zgłaszają się oni najczęściej z oczekiwaniem natychmiastowej odbudowy utraconych tkanek. W wielu przypadkach konieczne jest jednak kompleksowe podejście i zaplanowanie docelowego leczenia protetycznego. Dla komfortu pacjenta, który nie może od razu podjąć takiego leczenia, warto wykonać na tyle trwałą i estetyczną odbudowę, by mogła ona doczekać kolejnego etapu postępowania. Jeśli pacjent straci niemal całą koronę kliniczną zęba, a nie zdecyduje się na natychmiastowe leczenie protetyczne, należy podjąć taką decyzję, która umożliwi w przyszłości kontynuację leczenia. W niniejszej pracy omówiono właśnie taką sytuację. Pacjent nie wykluczał wykonania w przyszłości korony protetycznej, ale w dniu, w którym zgłosił się do gabinetu w celu odbudowy utraconego zęba, nie był gotowy na podjęcie decyzji między innymi o rodzaju korony. Lekarz musiał natomiast wybrać rodzaj wkładu koronowo-korzeniowego i materiału odtwórczego, który pozwoliłby na odbudowę zęba.
Odbudowując zęby leczone kanałowo, w pierwszej kolejności należy rozważyć, czy wkład koronowo- korzeniowy będzie potrzebny, a jeśli tak, to jaki – wzmacniany włóknem szklanym czy metalowy, lany. Jeżeli wkłady koronowo-korzeniowe są prawidłowo zacementowane, to w czasie fizjologicznych obciążeń nie istnieje niebezpieczeństwo ich uszkodzenia, niezależnie od materiału, z jakiego zostały wykonane (1). Występujące powikłania najczęściej dotyczą natomiast samego zęba. Złamania zębów odbudowanych wkładami kompozytowymi wzmacnianymi włóknem szklanym występują z reguły w okolicy szyjki, natomiast w przypadku wkładów lanych – wewnątrzkorzeniowo, co daje gorsze rokowanie w dalszym postępowaniu leczniczym (24). Ponieważ w omawianym przypadku uraz wystąpił w odcinku przednim, a pacjent chciał odroczyć ostateczną odbudowę, należało w przyszłości wziąć pod uwagę pracę pełnoceramiczną. Wybór wkładu koronowo-korzeniowego wzmacnianego włóknem szklanym był zatem oczywisty. Należało również wybrać takie rozwiązanie, które umożliwi natychmiastową odbudowę zrębu zęba.
Cel pracy
Celem pracy był opis przypadku bezpośredniej odbudowy zęba siecznego bocznego szczęki na wkładzie z włókna szklanego.
Celem pracy był opis przypadku bezpośredniej odbudowy zęba siecznego bocznego szczęki na wkładzie z włókna szklanego.
Opis przypadku
Pacjent zgłosił się w celu odbudowy zęba 22 po urazie doznanym w okolicy zębów przednich szczęki (ryc. 1).
Ryc. 1. Stan przed leczeniem.
Ząb w przeszłości był prawidłowo leczony kanałowo. Zaraz po urazie pacjent zgłosił się do lekarza, który do czasu leczenia protetycznego zabezpieczył ujście kanału płynnym kompozytem w kolorze niebieskim (ryc. 2).
Ryc. 2. Zabezpieczenie korzenia zęba 22.
Na kolejnej wizycie omówiono z pacjentem możliwości leczenia i podjęto decyzję o wykonaniu bezpośredniej odbudowy na wkładzie z włókna szklanego, która w przyszłości będzie stanowiła bazę pod koronę protetyczną. Ponieważ ponad pół roku wcześniej została wykonana endokorona na ząb 36, w gabinecie znajdował się model szczęki pacjenta, sporządzony wówczas jako przeciwstawny (ryc. 3). Na tej podstawie możliwe było wykonanie indeksu silikonowego (ryc. 4) i dokładne odwzorowanie oryginalnego kształtu utraconej korony zęba.
Ryc. 3. Model szczęki.
Ryc. 4. Docięty indeks silikonowy, wykonany na podstawie modelu.
Usunięto opatrunek i opracowano ścianę nośną zęba 22. Dobrano kolor, przewidując pracę w technice warstwowej. Zęby od 14 do 24 zaizolowano koferdamem. Wykonano preparację w obrębie kanału korzeniowego. Zamocowano dodatkową klamrę #B5 na zębie 22. Następnie przymierzono docięty indeks silikonowy, tak by umożliwił odbudowę ściany podniebiennej oraz brzegu zęba siecznego na odpowiednią długość (ryc. 5).
Ryc. 5. Kontrola przylegania indeksu silikonowego w jamie ustnej.
Przymierzono wkład koronowo-korzeniowy z włókna szklanego, docinając go na odpowiednią długość, aby w trakcie odbudowy był całkowicie zabezpieczony materiałem kompozytowym. Zęby 23 i 21 zostały zabezpieczone paskiem metalowym, a 22 poddany piaskowaniu mikropiaskarką abrazyjną (MicroEtcher IIa, Danville) przy użyciu tlenku glinu o wielkości ziaren 50 μm. Następnie zęby sąsiednie zabezpieczono taśmą PTFE, a ząb 22 wytrawiono 36% kwasem fosforowym (Arkona) (ryc. 6).
Ryc. 6. Wytrawianie kwasem fosforowym.
Kolejnym etapem była aplikacja systemu wiążącego Syntac (Ivoclar Vivadent) oraz zacementowanie wkładu Fibrekor™ Post 1,125 mm (fioletowy) (Jenerix). Do cementowania wykorzystano materiał Variolink II base yellow A3 oraz catalyst transparent high. Zmieszany cement wprowadzono do kanału za pomocą igły Lentulo (Dentsply Maillefer). Wcześniej dopasowywany wkład oczyszczono. Zaaplikowano na jego powierzchnię materiał Monobond (Ivoclar Vivadent) i dokładnie osuszono. Wkład wraz z cementem wprowadzono do kanału. Czystym pędzelkiem do bondu usunięto nadmiary cementu i przystąpiono do naświetlania wkładu lampą polimeryzacyjną. Następnie ponownie przymierzono indeks silikonowy w celu skontrolowania, czy ewentualne nadmiary materiału nie blokują jego przylegania. Na powierzchnię indeksu nałożono materiał Estelite Asteria (Tokuyama Dental) w kolorze NE. Indeks założono na zęby, spolimeryzowano tworzoną w ten sposób podniebienną ścianę odbudowy (ryc. 7).
Ryc. 7. Zacementowany wkład z włókna szklanego, ściana podniebienna odbudowywana na indeksie silikonowym.
W kolejnych etapach, techniką warstwową nakładano kolejne porcje materiału w kolorach A4, A3,5 oraz A3 (ryc. 8), odbudowując ściany styczne w kolorze NE (ryc. 9). Tym samym kolorem odtworzono powierzchnię przedsionkową (ryc. 10).

Ryc. 8. Odbudowa zrębu zęba 22 techniką warstwową.

Ryc. 9. Odbudowa powierzchni stycznych.

Ryc. 10. Zakończona odbudowa techniką warstwową.
Ostrzem skalpela usunięto nadmiary i skorygowano kształt odbudowanego zęba (ryc. 11). Następnie zdjęto koferdam i wypolerowano odbudowę (ryc. 12).
Ryc. 11. Wstępne opracowanie odbudowy.

Ryc. 12. Odbudowany ząb 22.
Ze względu na konieczność odroczenia postępowania protetycznego i dużą różnicę w kolorze zębów (ryc. 13) pacjent został poinformowany o konieczności umówienia się na kolejną wizytę w celu kontroli wykonanej odbudowy.

Ryc. 13. Odbudowany ząb 22.
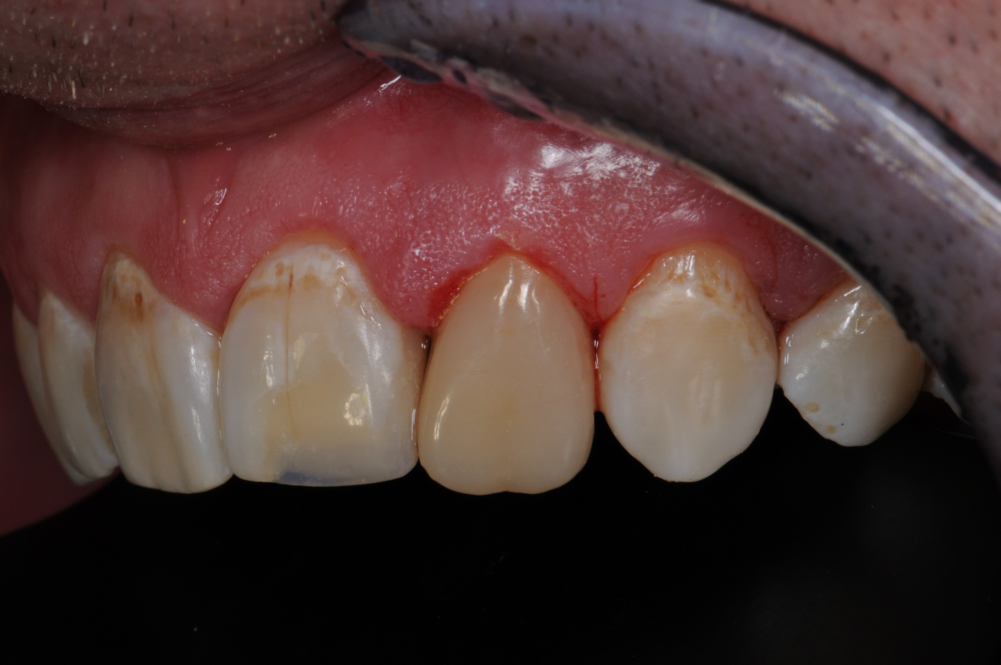
Kontrola odbyła się ponad miesiąc później (ryc. 14 i 15). Pacjent zaakceptował wykonaną odbudowę.
Ryc. 14, 15. Odbudowany ząb 22 – wizyta kontrolna.
Omówienie
Wykonując odbudowy protetyczne na zębach leczonych kanałowo, można obawiać się powikłań wynikających ze znacznego osłabienia struktury korzenia, zwłaszcza w przypadku zniszczenia korony klinicznej. W tym wypadku bardziej problematyczne wydaje się złamanie korzenia niż odcementowanie pracy protetycznej. To powikłanie w wielu przypadkach prowadzi do ekstrakcji leczonego zęba, dlatego tak ważne jest odpowiednie zaplanowanie odbudowy. Wielu autorów uważa, że decydujący wpływ dla ochrony zębów z wkładami koronowo-korzeniowymi przed złamaniem ma tzw. ferrule effect – efekt objęcia koroną protetyczną pozostałej, naddziąsłowej struktury zęba (58). Obecność 1,52 mm tkanek naddziąsłowych przekłada się na odporność zębów po leczeniu kanałowym na złamanie. Jeżeli warunki kliniczne nie zapewniają pełnej obręczy, pozostawienie jej części jest lepsze niż całkowity brak. W zębach nieposiadających struktury naddziąsłowej zalecane jest ortodontyczne lub chirurgiczne wydłużenie korony (z naciskiem na to pierwsze). Jeśli nie uda się zapewnić wystarczającej ilości tkanek naddziąsłowo, należy liczyć się z możliwością wystąpienia powikłań (5).
Z badań przeprowadzonych przez Dejak wynika, że obecność ferrule effect znacznie redukuje naprężenia powstające w zębinie, koronie, wkładzie oraz w cemencie wokół wkładu. Znacznie większy wpływ na wytrzymałość ma pozostawiona część naddziąsłowa zęba objęta koroną niż zastosowanie wkładu kompozytowego wzmocnionego włóknem szklanym (8). Potwierdzają to również inne badania wskazujące, że obecność tkanek naddziąsłowych przekłada się na zwiększenie wytrzymałości zęba po leczeniu kanałowym (zarówno z wkładem korzeniowym, jak i bez niego) (7).
W opisanym przypadku po założeniu koferdamu stwierdzono, że nie ma konieczności wydłużenia korony klinicznej, a ilość pozostałych tkanek zęba umożliwiła ichobjęcie materiałem kompozytowym na etapie przedstawionej odbudowy; w przyszłości będą one stanowić odpowiednią podbudowę podkoronę protetyczną. Wykorzystanie całej pozostawionej struktury naddziąsłowej przyczyni się do zwiększenia szczelności i trwałości wykonanej pracy. Tkanki te pozwalająbowiem zachować integralność cementu uszczelniającego koronę protetyczną (7).
W omówionej sytuacji decyzję o zacementowaniu wkładu z włókna szklanego podjęto przede wszystkim ze względu na konieczność szybkiego, estetycznego i trwałego odtworzenia całej korony klinicznej, co byłoby niemożliwe przy zastosowaniu wkładu metalowego.
Podsumowanie
Odbudowa zachowawcza na wkładzie koronowo-korzeniowym z włókna szklanego jest rozwiązaniem szybkim i komfortowym dla pacjenta, a zarazem na tyle trwałym, by zapewnić mu czas na podjęcie decyzji o wykonaniu uzupełnienia protetycznego.
PIŚMIENNICTWO
1. Dejak B.: Wpływ braku przylegania wkładu koronowo-korzeniowego do niektórych części korzenia na naprężenia występujące w strukturach odbudowanego zęba. Protet. Stomatol., 2000, 50, 1, 30-37.
2. Biały M., Dąbrowa T., Więckiewicz W.: Analiza porównawcza indywidualnych wkładów koronowo-korzeniowych lanych oraz standardowych kompozytowych wzmacnianych włóknem szklanym – przegląd piśmiennictwa. Dent. Forum, 2013, 41, 1, 53-56.
3. Newman M.P. i wsp.: Fracture resistance of endodontically treated teeth restored with composite posts. J. Prosthet. Dent., 2003, 89, 4, 360-367.
4. Cormier C.J., Burns D.R., Moon P.: In vitro comparison of the fracture resistance and failure mode of fiber, ceramic and conventional post systems at various stages of restoration. J Prosthodont., 2001;10, 1, 26-36.
5. Juloski J. i wsp.: Ferrule effect: a literature review. J. Endod., 2012, 38, 1, 11-19.
6. Pereira J.R. i wsp.: Effect of a crown ferrule on the fracture resistance of endodontically treated teeth restored with prefabricated posts. J. Prosthet. Dent., 2006, 95, 1, 50-54.
7. Lima A.F. i wsp.: Influence of ferrule preparation with or without glass fiber post on fracture resistance of endodontically treated teeth. J. Appl. Oral. Sci., 2010, 18, 4, 360-363.
8. Dejak B.: Wpływ „ferrule effect” na wytrzymałość zębów przednich odbudowanych wkładami koronowo-korzeniowymi kompozytowymi wzmacnianymi włóknami szklanymi. Protet. Stomatol., 2012, 62, 4, 264-274.
                  
          ,