T. Katarzyna Różyło, Ingrid Różyło-Kalinowska, Katarzyna Gruszka, Katarzyna Denkiewicz
Celem pracy jest przedstawienie znaczenia badań radiologicznych w wykrywaniu zaburzeń rozwojowych zębów. Materiał stanowiły zdjęcia zgromadzone w Zakładzie Rentgenodiagnostyki Stomatologicznej i Szczękowo-Twarzowej Uniwersytetu Medycznego w Lublinie.

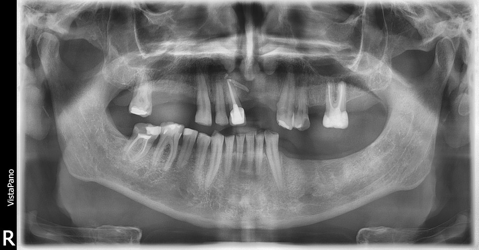
Zdjęcie pantomograficzne przedstawia brak korzenia podniebiennego w zębie trzonowym szczęki po stronie lewej
Small radiological atlas of developmental disorders of teeth in everyday dental practice
The aim of the study was to present the significance of radiological examinations in the detection of developmental disorders of teeth. Material for the study consisted of radiographs collected at the Department of Dental and Maxillofacial Radiodiagnostics, Lublin Medical University.
Artykuł ukazał się w nr. 5/2016 MS
Zdjęcie pantomograficzne przedstawia brak korzenia podniebiennego w zębie trzonowym szczęki po stronie lewej
Small radiological atlas of developmental disorders of teeth in everyday dental practice
The aim of the study was to present the significance of radiological examinations in the detection of developmental disorders of teeth. Material for the study consisted of radiographs collected at the Department of Dental and Maxillofacial Radiodiagnostics, Lublin Medical University.
Artykuł ukazał się w nr. 5/2016 MS