Monika Borkowska
W pracy przedstawiono leczenie protetyczne pacjentki z prawostronnym brakiem skrzydłowym zębów trzonowych w żuchwie, przy niekorzystnych warunkach kostnych, za pomocą koron zespolonych na implantach.

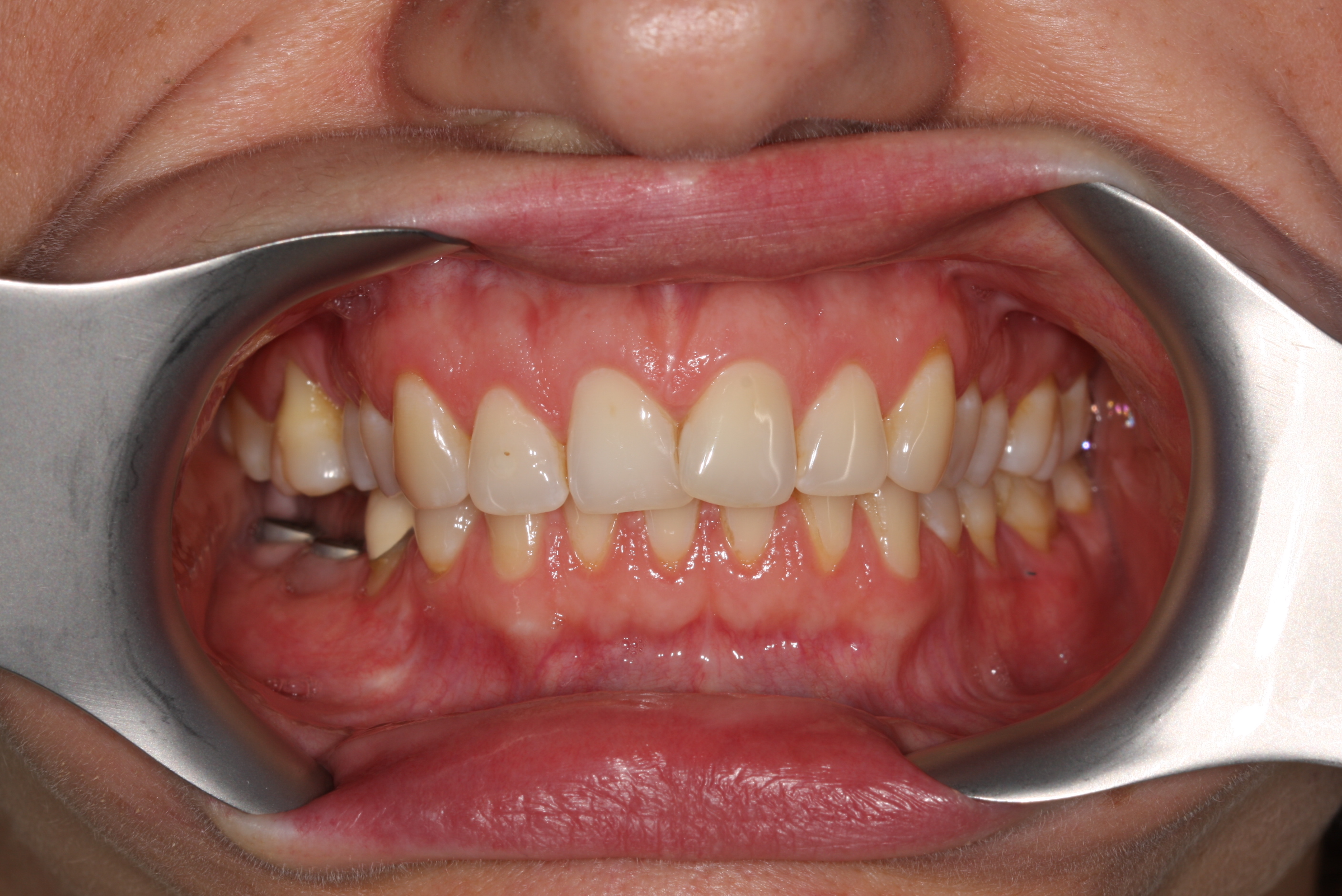
Zdjęcie zewnątrzustne wykonane 3 miesiące po wprowadzeniu implantów i zabezpieczeniu ich śrubami gojącymi.
Zdjęcie zewnątrzustne wykonane 3 miesiące po wprowadzeniu implantów i zabezpieczeniu ich śrubami gojącymi.
Connected crowns supported on implants in the case of unfavourable bone condition in the lateral segment of the mandible – case description
The study describes prosthetic treatment for a female patient with right-sided absence of molar teeth in the mandible with unfavourable bone condition. This was done using connected crowns supported on implants.
Artykuł ukazał się w nr. 6/2016 MS
KUP ARTYKUŁ
Artykuł ukazał się w nr. 6/2016 MS
KUP ARTYKUŁ