Pourazowe uszkodzenia zębów stałych wymagają natychmiastowego działania. W pierwszej kolejności zabezpieczenia pacjenta przed wystąpieniem dolegliwości bólowych, a następnie funkcjonalnego i estetycznego zaopatrzenia docelowego. W pracy opisano przypadek postępowania terapeutycznego w przypadku skośnego złamania korony zęba siecznego górnego. Przedstawiono metody postępowania według International Association of Dental Traumatology (IADT) oraz etapy postępowania diagnostycznego, endodontycznego, protetycznego i zachowawczego w wybranym przypadku klinicznym. Do odbudowy zęba wykorzystano odłamany zrąb tkanek twardych, łącząc go za pomocą cementu kompozytowego. Okres obserwacji klinicznej i radiologicznej wynosi 5 lat.

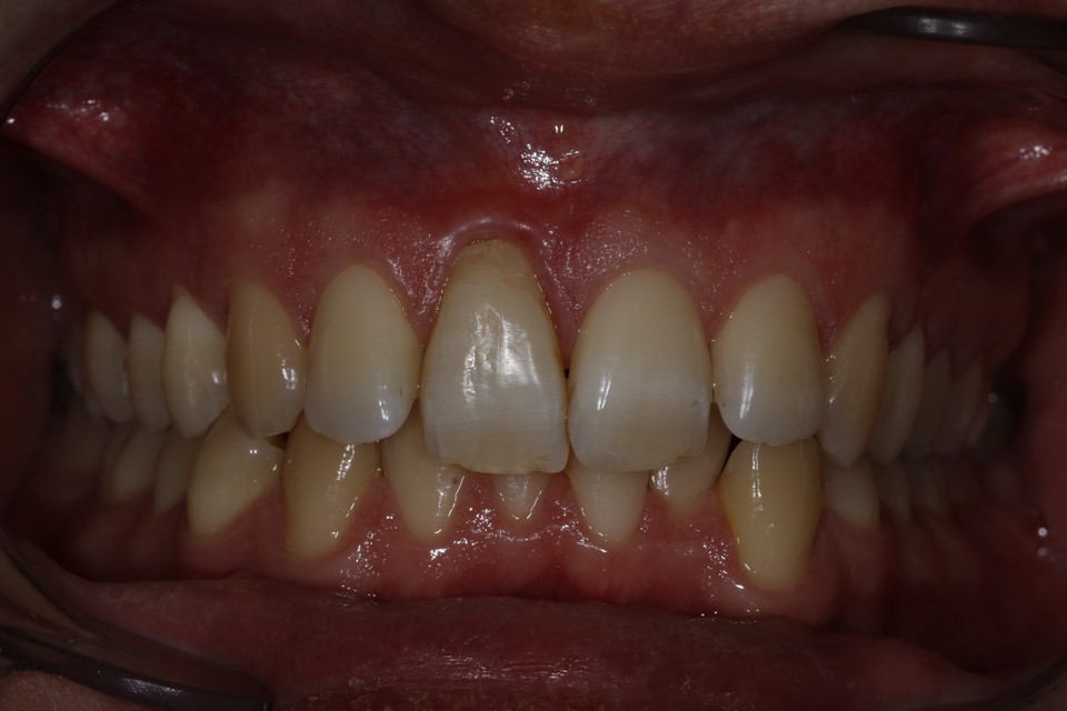
Stan po 3 latach od połączenia odłamów
Stan po 3 latach od połączenia odłamów
Post-traumatic reconstruction of central maxillary incisor using the fractured fragment – case description
Post-traumatic damage of permanent teeth demands immediate action. First, the patient needs to be protected from pain and then be treated for the final function and aesthetics. The study describes a procedure in the case of oblique fracture of tooth crown in the upper incisor. A presentation was made of procedure methods according to the International Association of Dental Traumatology (IADT) together with the stages of diagnosis, endodontics, prosthetics and conservative procedures in the clinical case chosen. For reconstruction of the tooth use was made of the fractured fragment of the hard tissues, fixing it with composite cement. The period of clinical and radiological observation is 5 years.
Artykuł ukazał się w nr. 7-8/2016 MS
KUP ARTYKUŁ
Artykuł ukazał się w nr. 7-8/2016 MS
KUP ARTYKUŁ