Augmentacja boczna wąskich wyrostków zębodołowych z zastosowaniem dwufazowego siarczanu wapnia – opis 3 przypadków. Część 1.
Lateral augmentation of thin alveolar ridges using biphasic calcium sulfate – a 3 case report. Part 1.
Streszczenie
Szeroko praktykowana w implantologii chirurgia regeneracyjna ma na celu jak najefektywniejsze odtwarzanie zaników kości wyrostków zębodołowych potrzebnych dla zapewnienia optymalnych warunków implantacji. W chwili obecnej stosuje się ogromne spektrum metod służących poprawie kształtu i objętości wyrostków, jednakże żadna z nich nie zapewnia stuprocentowej przewidywalności i powtarzalności. Rozmaite zabiegi augmentacyjne mogą znacznie obciążać pacjenta i stanowić przyczynę niepowodzeń lub powikłań. Ponadto inwazyjność niektórych metod rekonstrukcyjnych może zniechęcać do ich przeprowadzenia zarówno operowanych jak i operatorów. W dobie minimalizowania ingerencji chirurgii w organizm człowieka, poszukuje się takich właśnie technik i materiałów, które mogłyby sprostać oczekiwaniom pacjentów i lekarzy w tym aspekcie, a jednocześnie zapewnić jak największą efektywność kliniczną. Dlatego autorzy chcieliby zaprezentować 3 przypadki zastosowania cementu regeneracyjnego z dwufazowym siarczanem wapnia i hydroksyapatytem w odtwarzaniu deficytów kostnych w szczęce i żuchwie.
Abstract
Regenerative surgery, widely practiced in implantology, is aimed at the most effective reconstruction of alveolar bone loss needed to ensure optimal implantation conditions. Currently, a huge range of methods are used to improve the shape and volume of alveolar ridges, but none of them ensures 100% predictability and effectiveness. Various augmentation procedures can significantly burden the patient and cause failures or complications. Moreover, the invasiveness of some reconstructive methods may discourage both patients and operators from performing them. In the era of minimizing surgical intervention in the human body, we are looking for techniques and materials that could meet the expectations of patients and doctors in this aspect and, at the same time, ensure the greatest possible clinical effectiveness. Therefore, the authors would like to present a 3 cases of the use of regenerative cement with biphasic calcium sulfate and hydroxyapatite in the reconstruction of a bone deficit in the lateral mandible and frontal maxilla.
Słowa kluczowe: wąski wyrostek zębodołowy, augmentacja boczna, dwufazowy siarczan wapnia
Key words: thin alveolar ridge, lateral augmentation, biphasic calcium sulfate
Wstęp
Rehabilitacja układu stomatognatycznego poprzez między innymi odtwarzanie braków zębowych konstrukcjami stałymi skłania coraz częściej pacjentów do wyboru leczenia implantoprotetycznego. Są to często osoby, u których rozmaite deficyty kości szczękowych powstały na skutek działania rozmaitych czynników. Mogą to być najczęściej zaniki kości wyrostków zębodołowych jako odległe następstwo powikłań zapalnych próchnicy i chorób przyzębia. Istnieje także wiele dowodów naukowych , iż pozostawienie zębodołu poekstrakcyjnego bez augmentacji powoduje zmniejszenie jego szerokości, najbardziej widoczne w pierwszych 6 miesiącach. Taki stan miejscowy pogłębia się dalej w wyniku naturalnych procesów przebudowy i zaniku kości wyrostków zębodołowych pozbawionych zębów. Należy także dodać, iż duża liczba pacjentów nie akceptuje protetycznych ruchomych w jamie ustnej. Dlatego właśnie postępowanie regeneracyjne kości ma jak najefektywniej umożliwiać przeprowadzenie późniejszej implantacji. W sytuacji już istniejących braków uzębienia chirurgia regeneracyjna jest optymalnym sposobem postępowania, dzięki któremu wraz z leczeniem implantoprotetycznym uzyskujemy odtworzenie utraconych zębów najbardziej zbliżone do fizjologii. Rozmaite techniki odtwórcze i biomateriały są używane przez klinicystów, z lepszym lub gorszym efektem regeneracyjnym.
W kontekście zastosowania materiałów pochodzenia zwierzęcego, możliwa jest jedynie ich integracja z kością żywiciela (pacjenta)autorzy stosują od kilku lat twardniejący syntetyczny cement regeneracyjny zawierający hydroksyapatyt i dwufazowy siarczan wapnia (1-4). Krótka charaktetystyka materiału została przedstawiona na łamach czasopisma w numerze 3/2024.
Wobec powyższego autorzy chcieliby zaprezentować 3 przypadki użycia Bond Apatite® jako materiału regeneracyjnego w bocznym odcinku części zębodołowej żuchwy oraz przednim odcinku szczęki.
Przypadek 1
  
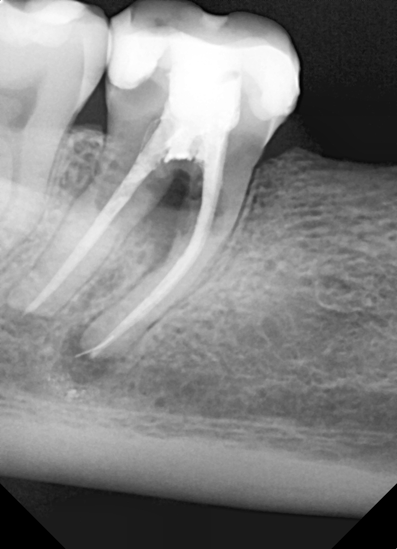
Ryc. 1a. Zmiany zapalne furkacji zęba 47.  Ryc. 1b. Rtg 7 dni po augmentacji.
   
   
Ryc. 2. Szerokość wyrostka. Ryc.  3. Deficyt objętościowy masy kostnej i zanik blaszki przedsionkowe.
Ryc. 4. Rekonstrukcja 3d-wyjsciowy kształt wyrostka.
etap 1: usunięcie zęba 47 i augmentacja zębodołów cementem regeneracyjnym z wykorzystaniem techniki bezpłatowej,
Wszystkie zabiegi przeprowadzono w znieczuleniu miejscowym 4% Artykainą z dodatkiem Noradrenaliny. W pierwszym etapie usunięto ząb 47. Stwierdzono częściowe uszkodzenia blaszki korowej przedsionkowej. Po opracowaniu rany ubytek wypełniono cementem regeneracyjnym (1 cm3) (ryc. 5). 
                                                
    Ryc. 5. RTg 7 dni po usunięciu 47 i augmentacji zębodołu
Brzegi rany zbliżono na odległość około 5 mm i zaopatrzono szwami (polidioksanon 4-0, igła okrągła kłująca, długość 16 mm, profil ½ koła). Po okresie 14 dni uzyskano ziarninowanie tkanki miękkiej. Drugi etap wykonano po 3 miesiącach. Dostęp do wyrostka wykonano w sposób typowy, jednym cięciem poziomym rozpoczynając na jego szczycie od okolicy 47, przedłużając do okolicy zęba 44 a następnie do przodu przez dziąsło zbite 44 i kończąc cięciem pionowym w połowie szerokości korony 44. Po odpreparowaniu tkanek miękkich uwidoczniono kość części zębodołowej, której powierzchnię poddano usunięciu pozostałości tkanek miękkich przy użyciu dedykowanych przez producenta wierteł z nasypem diamentowym.
  
       
  
 
Ryc. 6. Wytworzenie płata kątowego. Ryc. 7. Dekortykacja blaszki korowej.
Następnie wykonano otwory trepanacyjne w blaszce korowej kości o średnicy około 3 mm dochodząc do kości gąbczastej (ryc. 7). Taka średnica jest zalecana przez producenta dla lepszej retencji i utrzymania kształtu cementu regeneracyjnego w takim ubytku. Następnie po aktywacji umieszczono i uformowano cement na przygotowanej powierzchni kości (2 cm3) (ryc. 8). 
       
  
     Ryc 8. Uformowanie cementu na powierzchni wyrostka.   Ryc 9. Zaopatrzenie rany.
Kształt opracowano ręcznie przy użyciu raspatora i sterylnych gazików 5/5 cm. Następnie ranę przykryto płatem bez podcinania okostnej, a jedynie rozciągając go o kilka milimetrów dzięki wykorzystaniu pewnej elastyczności błony śluzowej. Ranę zaopatrzono szwami (polidioksanon 4-0, igła okrągła kłująca, długość 16 mm, profil ½ koła oraz nylon 5-0, igła odwrotnie tnąca, długość 12 mm, profil 3/8 koła) (ryc. 9). Pacjentka po zabiegu stosowała standardową antybiotykoterapię doustną (Amoksycylina 1.0 g co 12h 7 dni) oraz miejscowo płukanie jamy ustnej roztworem chlorcheksydyny. Rana goiła się prawidłowo, szwy usunięto w 10 dobie po zabiegu oraz wykonano kontrolne projekcje rtg, które wykazały prawidłowe utrzymanie cementu na wyrostku (ryc. 6-12).  
   
  
  
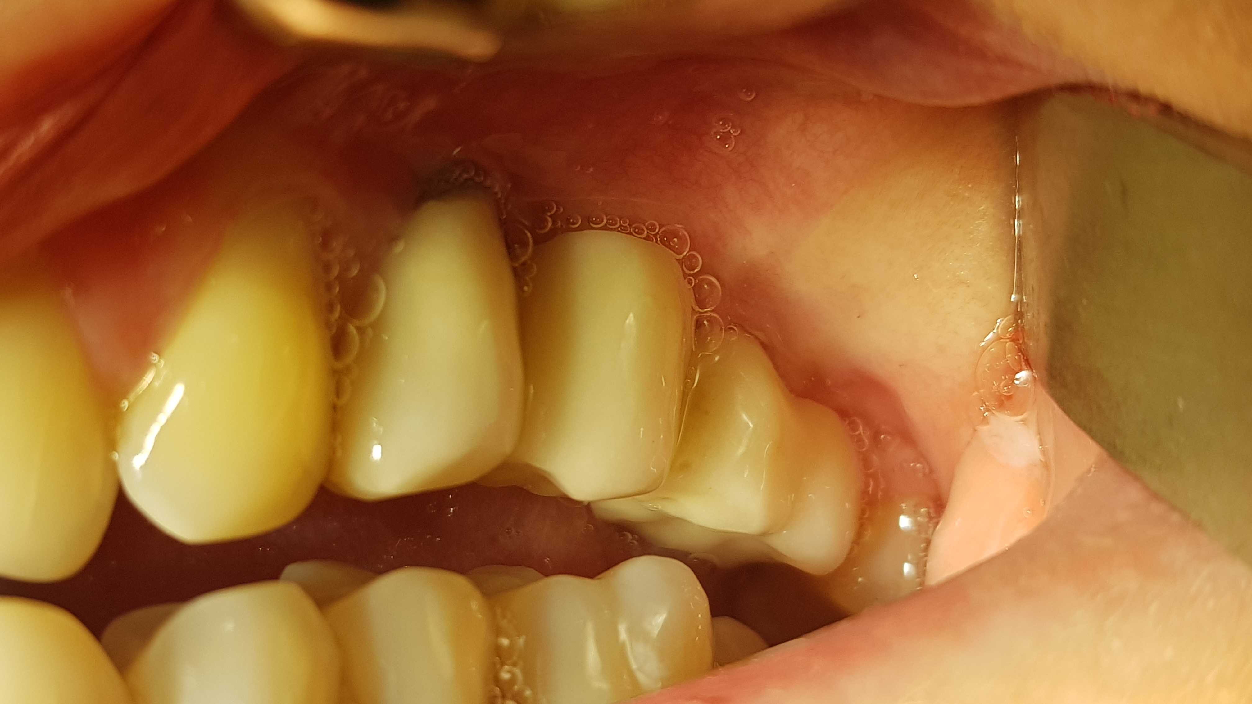
  Ryc. 10. Błona śluzowa w 10 dobie po zabiegu. 
  Ryc. 11. Rekonstrukcja 3D w 10 dobie po zabiegu. Cement utrzymuje nadany kształt w 
                ubytku kostnym. 
  Ryc. 12. Skan tomografii stożkowej w okolicy 45, w 10 dobie po zabiegu.
Po okresie 6 miesięcy wykazano prawidłową resorpcję cementu i regenerację wyrostka poprzez odtworzenie kości żywiciela (pacjenta) do szerokości około 8 mm (ryc.13).  
                                 
Ryc. 13. Regeneracja blaszki korowej przedsionkowej i deficytu kości w okolicy 45-46 6 miesięcy po zabiegu.
Regenerację blaszki przedsionkowej potwierdzono także klinicznie po odwarstwieniu płata podczas zabiegu planowej implantacji. Zmierzono szerokość wyrostka na poziomie 7-8 mm (ryc.14). Po wyrównaniu płaszczyzny wyrostka (ryc. 15) wykonano łoża dla implantów śrubowych w okolicy 45 (dł. 10 mm, śr. 3.7 mm) i 46/47 (dł. 10 mm, śr. 4.1 mm) (ryc.16), które wprowadzono w kość z momentem obrotowym około 25 Ncm. Ranę zaopatrzono szwami (PTFE – politetrafluoroetylen 4-0, igła odwrotnie tnąca, profil 3/8 koła długość 16 mm) (ryc.17). 
         
   
    Ryc. 14. Pomiar szerokości szczytu wyrostka w okolicy 45 wykazuje około 7 mm. 
    Ryc. 15. Pozycjonowanie implantów.
         
   
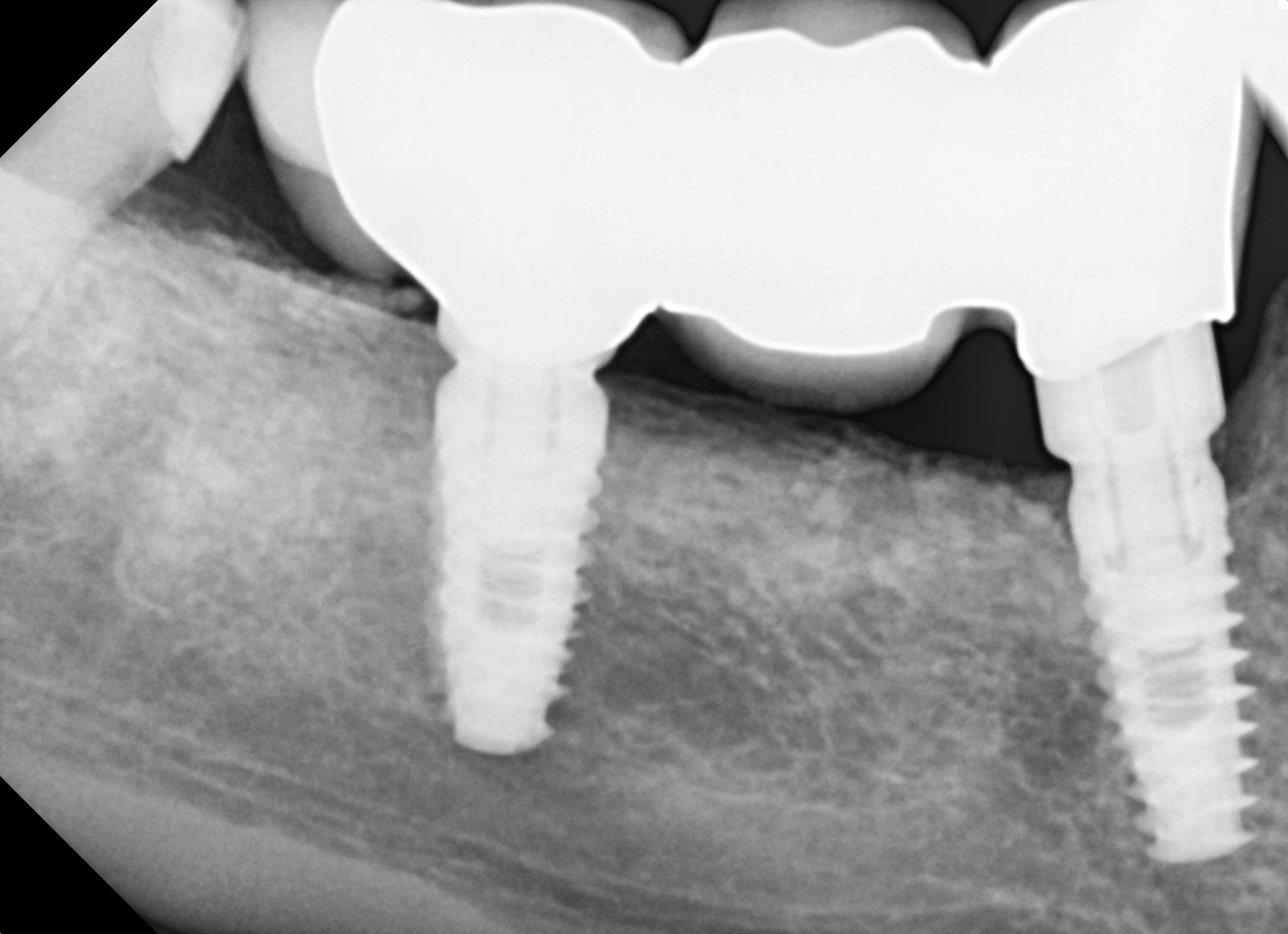
Ryc. 16. Wprowadzenie implantów w okolicy 45(3.7,10 mm) i 46-47( 4.1,10 mm). Ryc. 17. Zaopatrzenie rany.
   
  
  
 Ryc. 18. Kontrola położenia mplantu w pozycji 45.
 Ryc. 19. Kontrola położenia implantu w pozycji 46-47.
 Ryc. 20. Skan w płaszczyźnie horyzontalnej ukazuje regenerację blaszki korowej przedsionkowej
Implanty odsłonięto po kolejnych 3 miesiącach (ryc. 21) i zaopatrzono śrubami gojącymi (ryc. 22, 23).
     
  
  
  Ryc. 21. Odsłonięcie implantów po 3 miesiącach.
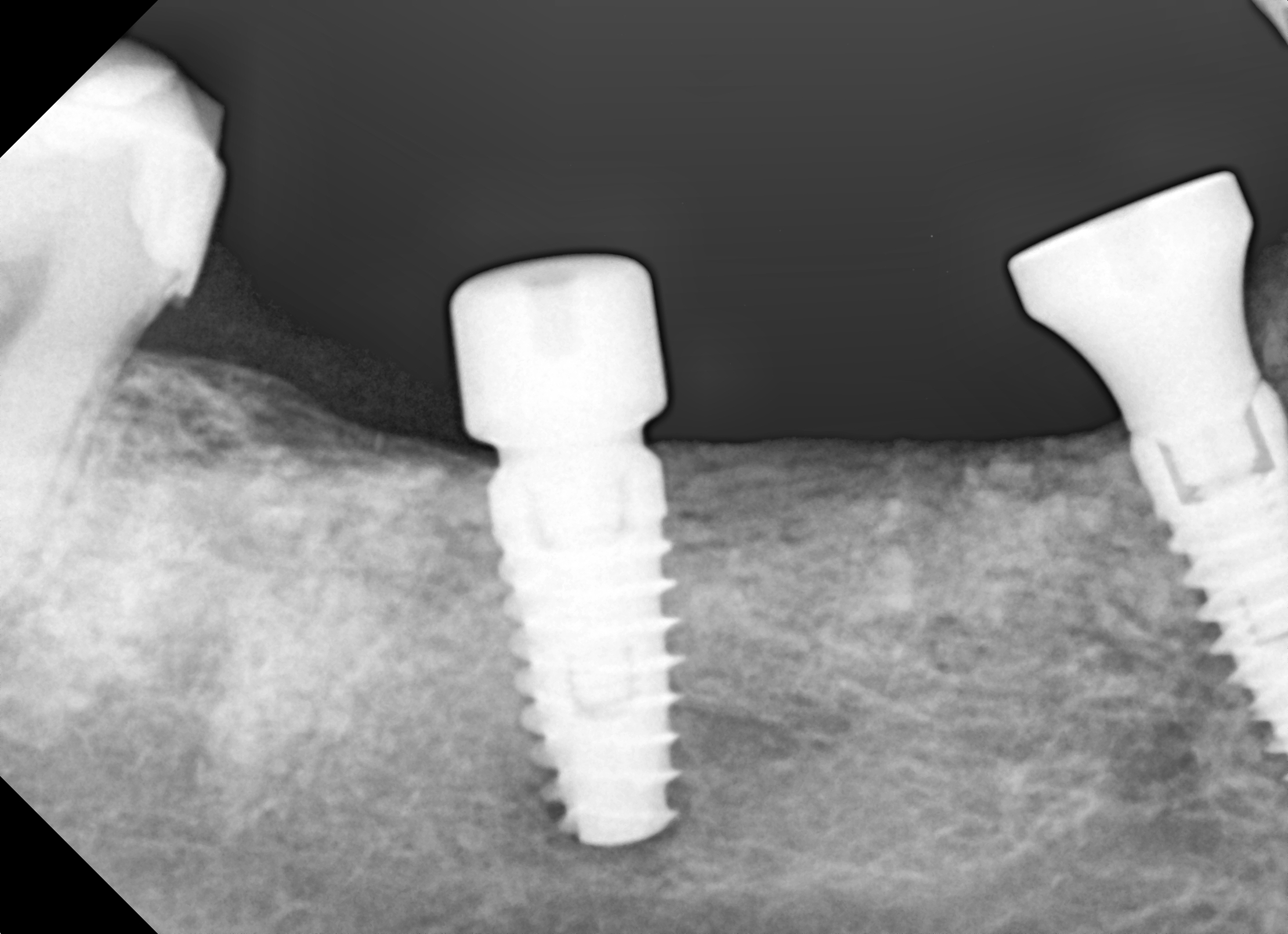
  Ryc. 22. Kontrola rtg prawidłowego umocowania śrub gojących.
  Ryc. 23. Kontrola rtg umiejscowienia transferów wyciskowych.
Następnie wykonano suprastrukturę protetyczną (most pełnoceramiczny) cementowaną (ryc. 24). 
                                              
  
     
       Ryc. 24. Łączniki protetyczne
 Kontrola po 12 miesiącach wykazała prawidłową strukturę kości i tkanek miękkich (ryc. 25, 26). 
              
  
          Ryc. 25. Kontrla rtg 12 miesięcy po obciążeniu funkcjonalnym.
          Ryc. 26. Stan miejscowy 12 miesięcy po obciążeniu funkcjonalnym.
Ponadto nie odnotowano jakichkolwiek wtórnych powikłań zapalnych, co sugeruje taki sposób 
postępowania w podobnych przypadkach wąskich wyrostków zębodołowych.
Piśmiennictwo
- Yahav A, Kurtzman GM, Katzap M, Dudek D, Baranes D. Bone Regeneration. Properties and Clinical Applications of Biphasic Calcium Sulfate. Dent Clin North Am. 2020; 64:453-472.
 - 
Baranes D, Kurtzman GM, Horowitz RA. Increasing Lateral Ridge Width for Implant Placement Using Calcium Sulphate Bone Cement Technique. Compend Contin Educ Dent 2022; 4: 1-4.
 
- Machtei EE, Mayer J, Horowitz J, Zigdon-Giladi H. Prospective randomized controlled clinical trial to compare hard tissue changes following socket preservation using alloplasts, xenografts vs no grafting: Clinical and histological findings. Clin Implant Dent Relat Res 2019; 21: 14-20.
 
- Dudek D, Reichman-Warmusz E, Kurtzman GM i wsp. The use of grafting material biphasic calcium sulfate for the treatment of osseous defects resulting from radicular cysts. Clinical study and six-month follow up. J Osteointegration. 2020; 12(4):716-721.
 
Damian Dudek Klinika Medyczna “Artmedica”, Toruń.
Maciej Jagielak Klinika „Ortognatyka Jagielak”, Raszyn.
Aldona Chloupek Kliniczny Oddział Chirurgii Czaszkowo-Szczękowo-Twarzowej,
Wojskowy Instytut Medyczny-Państwowy Instytut Badawczy, Warszawa.
Oliwia Warmusz, Edyta Reichman-Warmusz Katedra Histologii i Patologii Komórki w Zabrzu,
Śląski Uniwersytet Medyczny w Katowicach.