Bezpośrednia licówka kompozytowa w odcinku przednim wykonana z użyciem uniwersalnego kompozytu typu bulk-fill z uproszczonym systemem odcieni
– opis przypadku klinicznego
Direct anterior composite veneer using a universal bulk-fill composite with a simplified shade system – a clinical case report
Streszczenie:
Dziś najwyższe wymagania estetyczne można spełnić dzięki rekonstrukcjom kompozytowym wykonywanym bezpośrednio. Wypełnienia z kompozytów można wykonać w trakcie jednej wizyty, bez potrzeby pobierania wycisku i osadzania uzupełnienia tymczasowego. W porównaniu z rekonstrukcjami pośrednimi (licówki, korony), bezpośrednie odbudowy kompozytowe przyczyniają się do ochrony tkanek twardych i miękkich.
Summary:
Today, the highest aesthetic demands can be satisfied with direct composite restorations. In addition to protecting the hard and soft tissues compared to indirect procedures (veneers, crowns), the restoration can be created in one appointment without an impression or temporary restoration at reduced costs.
W leczeniu stomatologicznym odcinka przedniego obok aspektów funkcjonalnych, efekt estetyczny odgrywa dominującą rolę. Choć obie te kwestie są niezwykle ważne dla lekarzy, wielu pacjentów koncentruje się przede wszystkim na idealnym wyglądzie wypełnień. Na szczęście duża liczba pacjentów rozwinęła dziś silną świadomość stomatologiczną i dlatego jest gotowa ponieść niezbędne wydatki finansowe, aby uzyskać atrakcyjny uśmiech.
W ostatnich dziesięcioleciach ciągły rozwój materiałoznawstwa kompozytów i systemów adhezyjnych zaowocował znacznym postępem w zakresie właściwości materiałów i związanych z nimi protokołów postępowania w stomatologii adhezyjnej, a także w zakresie bezpieczeństwa leczenia (1-3). Jednocześnie znacznie rozszerzono zakres wskazań do adhezyjnych rekonstrukcji kompozytowych w odcinku przednim i bocznym. Szczególnie w ciągu ostatnich 30 lat wewnątrzustne stosowanie kompozytów u pacjentów w obszarze zębów przednich zostało udoskonalone poprzez wprowadzenie i ciągłe ulepszanie różnych technik warstwowych (4-12). Obecnie bezpośrednie rekonstrukcje kompozytowe można stosować w szerokim zakresie wskazań – od minimalnie inwazyjnych zabiegów i procedur zmiany kształtu zębów bez ubytków po rozległe odbudowy zębów przednich, które często zastępują dużą część objętości korony zęba (13-16).
Prezentacja przypadku klinicznego
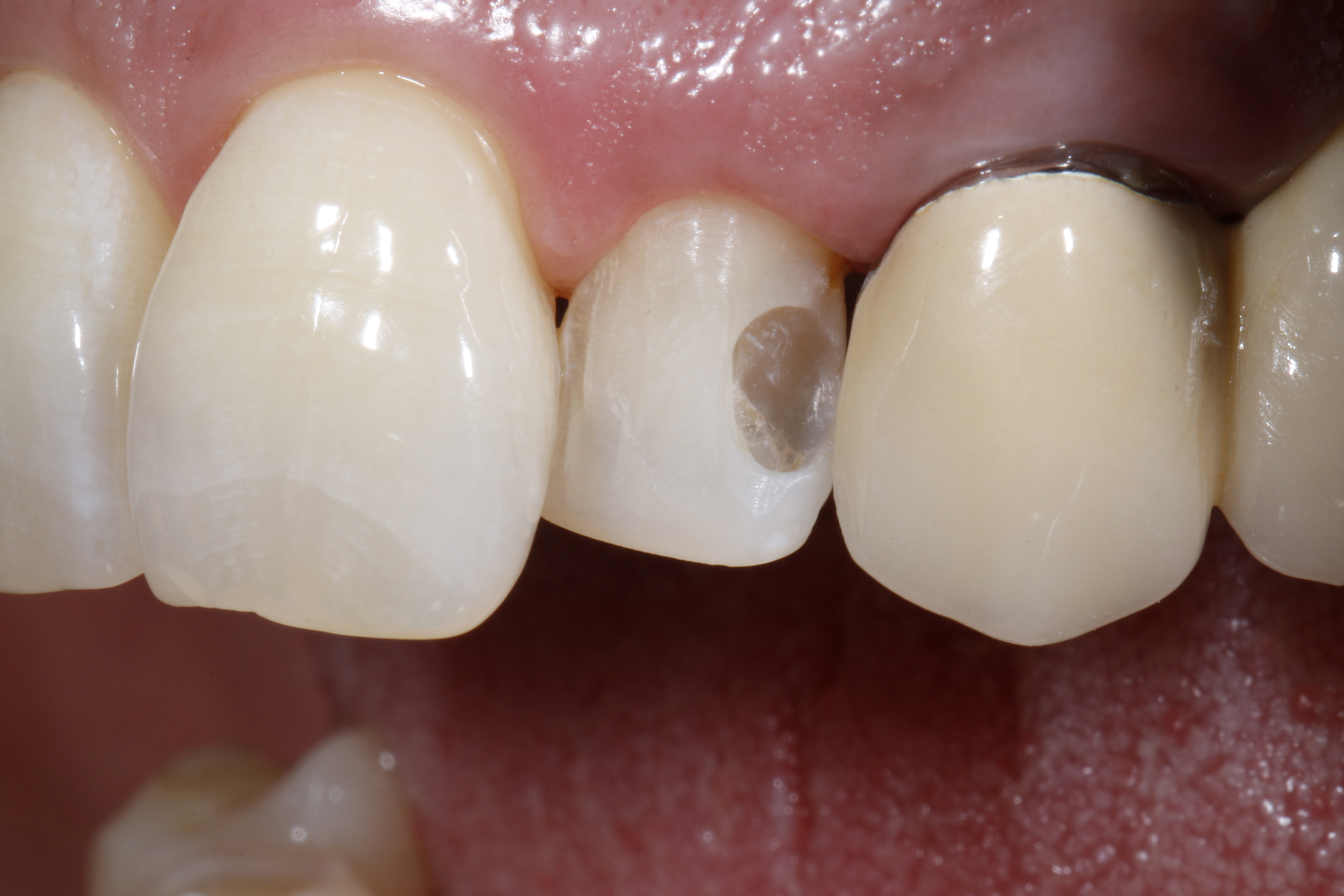
Do naszego gabinetu stomatologicznego zgłosiła się 60-letnia pacjentka z prośbą o lepsze optyczne ustawienie w łuku zębowym lewego bocznego siekacza szczęki, który jest wyraźnie położony podniebiennie w stosunku do lewego siekacza centralnego (ryc. 1 i 2).
Oprócz samego zęba, pacjentce szczególnie przeszkadzał fakt, że ząb wydawał się znacznie ciemniejszy w uśmiechu w porównaniu z lewym siekaczem centralnym i koroną PFM na lewym kle. Ząb bezzwłocznie zareagował nadwrażliwością na test na zimno, nie wykazał przy tym nieprawidłowości w teście opukiwania. Po zapoznaniu się z możliwymi alternatywami leczenia i ich kosztami, pacjentka zdecydowała się na licówkę bezpośrednią z użyciem uniwersalnego kompozytu GrandioSO Unlimited (VOCO GmbH, Cuxhaven).
Ryc. 1, 2. Sytuacja wyjściowa: lewy siekacz boczny jest ustawiony wyraźnie podniebiennie w stosunku do zębów sąsiednich. To przeszkadza pacjentce, który chciałaby uzyskać lepszą integrację wizualną z łukiem zębowym.
Leczenie rozpoczęto od dokładnego oczyszczenia zęba z zewnętrznych osadów za pomocą pasty profilaktycznej bez fluoru i gumki w kształcie kielicha. Następnie odpowiedni odcień kompozytu określono na wciąż wilgotnym zębie (ryc. 3).
Ryc. 3. Dobór odcienia na wilgotnym zębie
Wybrany odcień kompozytu sprawdzono, nakładając niewielką porcję kompozytu na powierzchnię zęba, który nie został wysuszony i nie był wstępnie zabezpieczony materiałem wiążącym (17). Konieczna jest polimeryzacja próbki kompozytu światłem przez czas określony przez producenta w celu uzyskania miarodajnego porównania optycznego. Dopiero przy wystarczającej ekspozycji na światło fotoinicjator kamforochinon, który jest zawarty w większości kompozytów i ma intensywnie żółty kolor, ulega w dużej mierze zużyciu i przekształceniu w bezbarwny produkt reakcji („fotowybielacz”) (18–23). Po polimeryzacji próbki kompozytu nałożonej na powierzchnię zęba, jej właściwości optyczne porównano z otaczającą zęba substancją pod względem odcienia i stopnia przezierności. Na tym etapie można łatwo dokonać korekty, zastępując niedopasowaną optycznie próbkę materiałem kompozytowym o zoptymalizowanym odcieniu. Ten indywidualny proces weryfikacji, który zajmuje bardzo mało czasu, gwarantuje, że do kolejnej odbudowy zostanie użyty optymalnie dopasowany materiał kompozytowy. Oznacza to, że w niemal wszystkich przypadkach można uniknąć czasochłonnych poprawek, a nawet nowych wypełnień z powodu skarg pacjentów na estetykę.



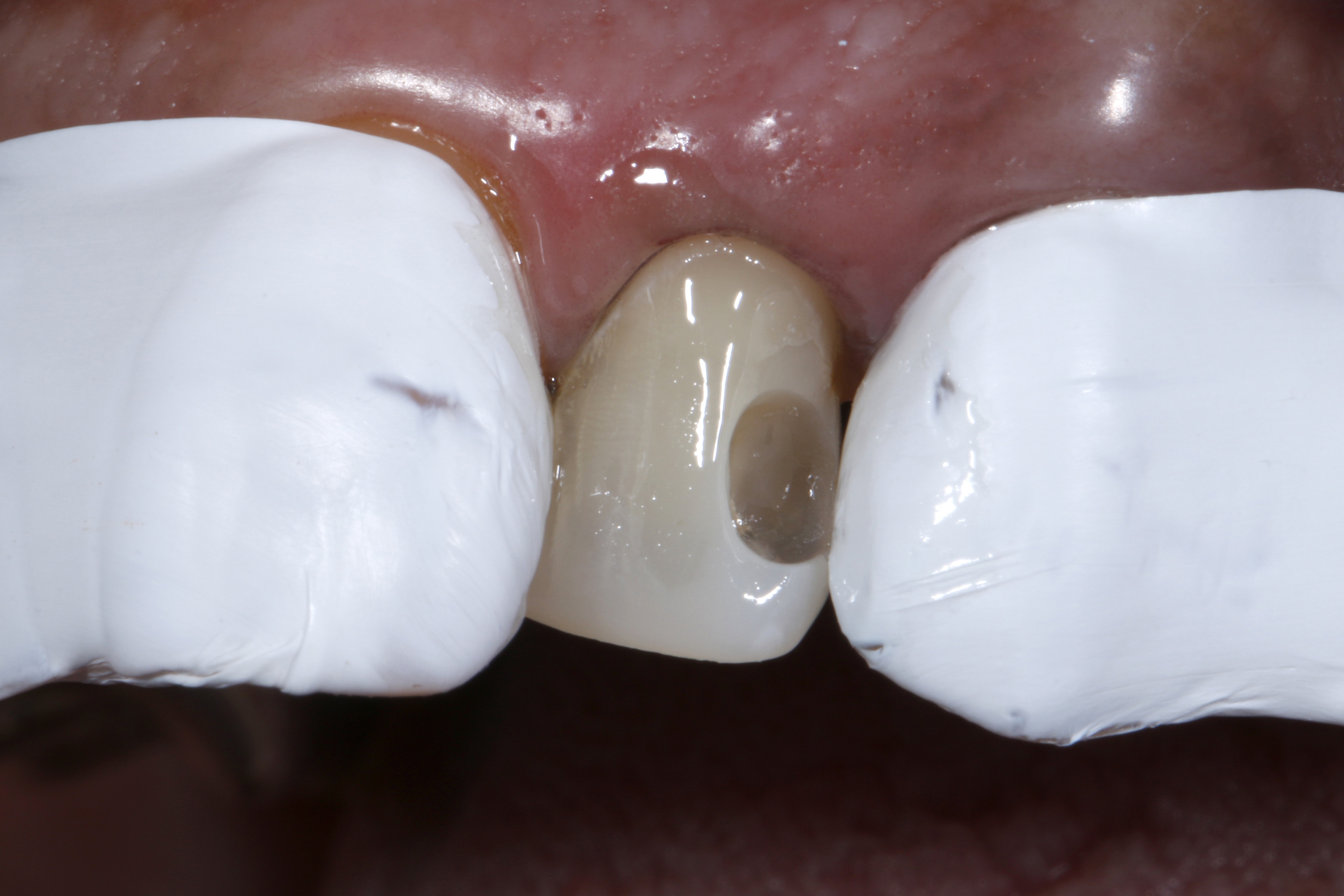
Ryc. 4. Usunięcie starego, dystalnego wypełnienia kompozytowego i niewielka preparacja powierzchni wargowej pod bezpośrednią licówkę kompozytową.
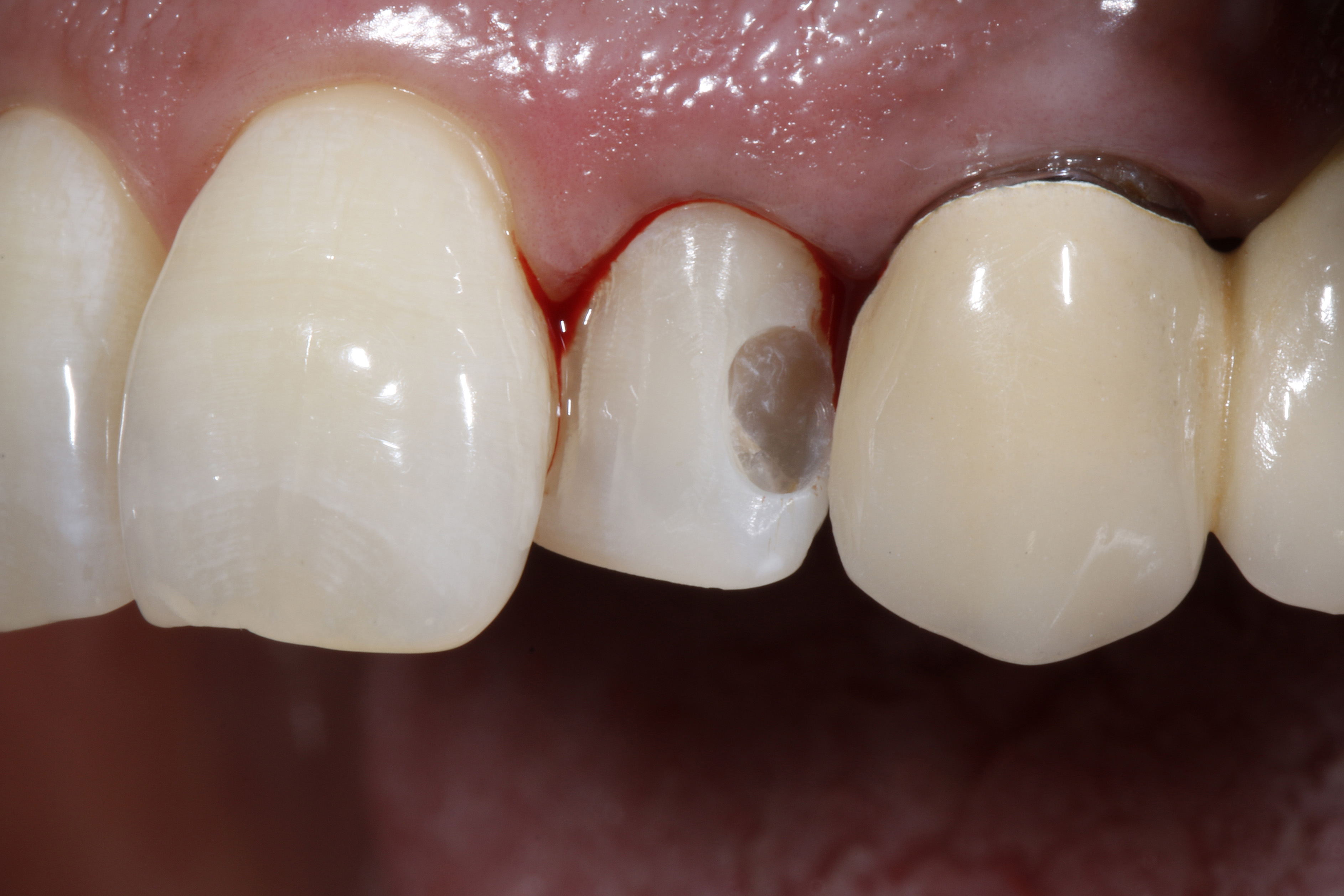
Ryc. 5. Odsunięcie dziąsła brzeżnego za pomocą nici retrakcyjnej w celu odsłonięcia brzegu preparacji od strony przyszyjkowej, co spowodowało krwawienie z bruzdy


Ryc. 6. Do bruzdy dziąsłowej od strony wargowej nałożono pastę retrakcyjną (Retraction Paste, VOCO GmbH, Cuxhaven) o działaniu ściągającym.
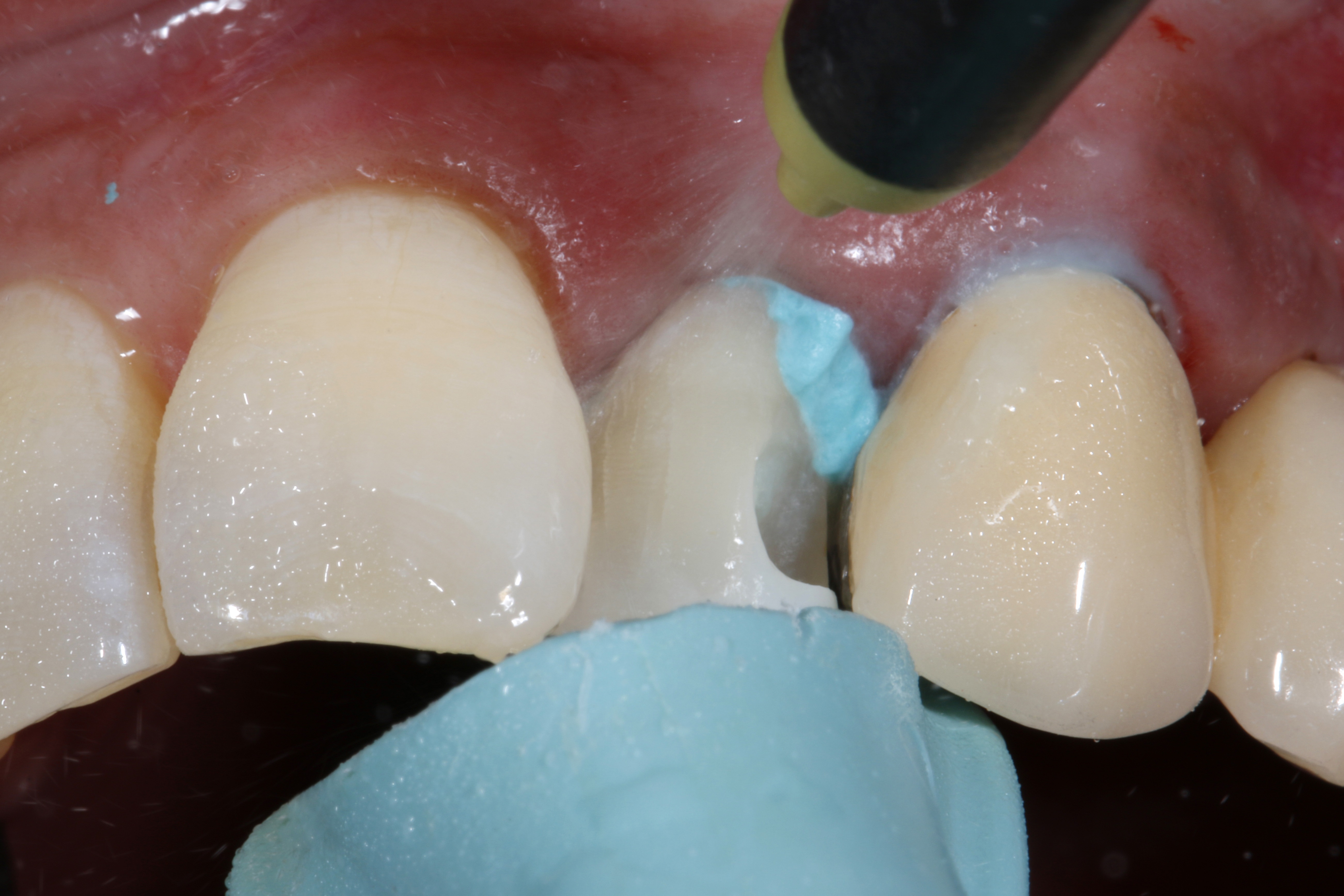
Ryc. 7. Po 2 minutach ekspozycji pastę ostrożnie usunięto za pomocą sprayu wodno-powietrznego z użyciem podciśnienia.
Następnie obszar osuszono sprężonym powietrzem. Miejscowe krwawienie w okolicy dziąseł zatamowano łatwo i skutecznie za pomocą pasty retrakcyjnej zawierającej chlorek glinu i kaolin (ryc. 8). Tylko czyste i suche pole zabiegowe pozwala na dalszą pracę bez zanieczyszczeń. W kolejnym etapie zabezpieczono oba sąsiednie zęby taśmą teflonową (ryc. 9).
Ryc. 8. Krwawienie udało się łatwo i skutecznie zatamować za pomocą pasty retrakcyjnej.
Ryc. 9. Sąsiednie zęby zabezpieczono taśmą teflonową


Ryc. 10. Wytrawianie szkliwa i zębiny żelem zawierającym 35% kwas fosforowy.
Ryc. 11. Po dokładnym oczyszczeniu z kwasu i resztek po wytrawieniu osuszono ząb powietrzem.


Ryc. 12. Nakładanie systemu wiążącego Futurabond M+ za pomocą mikroszczoteczki.
Ryc. 13. Ostrożne odparowanie rozpuszczalnika suchym, sprężonym powietrzem, wolnym od oleju.


Należy to dokładnie sprawdzić, ponieważ wszelkie matowe obszary ubytku wskazują na to, że nałożono niewystarczającą ilość środka adhezyjnego. W najgorszym przypadku może to prowadzić do osłabienia połączenia wypełnienia z tkankami w tych obszarach. Jeśli takie obszary zostaną wykryte podczas oględzin, selektywnie nakłada się na nie dodatkową warstwę materiału wiążącego w celu optymalizacji warstwy adhezyjnej.


Po nadaniu kształtu, kompozyt utwardzono przez 10 sekund światłem lampy (intensywność światła > 1200 mW/cm²). W drugim etapie zastosowano GrandioSO Unlimited do wypełnienia dystalnej części ubytku i kompozyt ponownie utwardzono (ryc. 18). Następnie nałożono materiał na całą powierzchnię wargową, jako bezpośrednią licówkę kompozytową, aby optycznie przesunąć materiał wargowo, a tym samym uzyskać lepszą pozycję w łuku zębowym (ryc. 19). Krawędzie proksymalne ukształtowano przy użyciu techniki „matrix pull” według Corky'ego Willhite'a (24). Na koniec materiał do wypełnień ponownie utwardzono przez 10 sek.



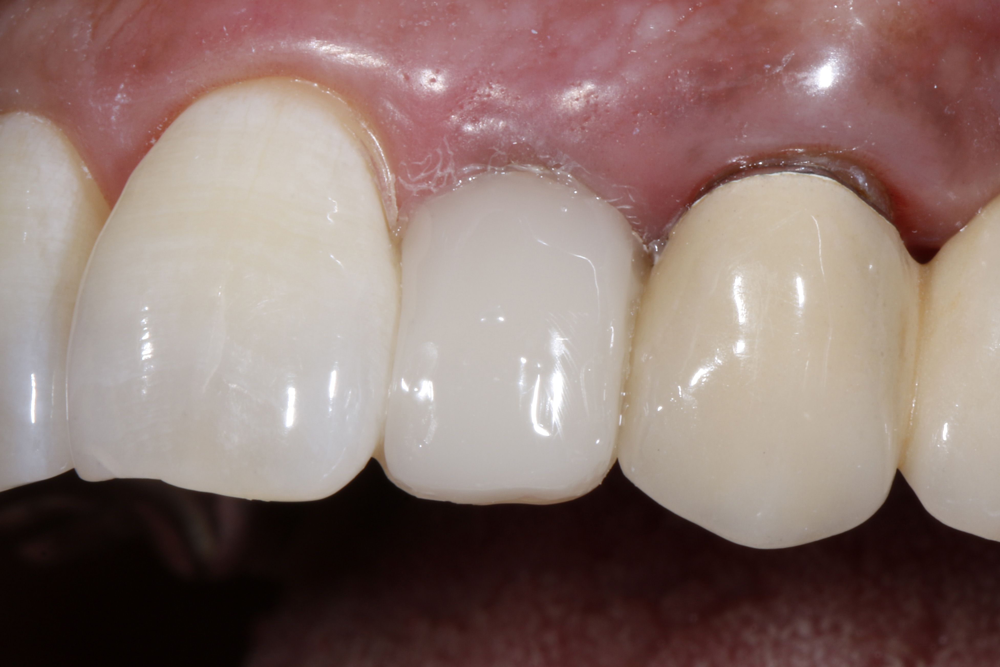
Bezpośrednią licówkę kompozytową wykończono stosując narzędzia obrotowe i krążki ścierne. Gładką i błyszczącą powierzchnię rekonstrukcji uzyskano za pomocą gumek do kompozytów (Diacomp Twist, EVE Ernst Vetter GmbH, Keltern) (ryc. 20). Efektem zastosowania licówki jest wargowe przesunięcie siekacza bocznego, co znacznie poprawiło jego pozycję w łuku zębowym (ryc. 21). Na koniec na ząb nałożono lakier fluorkowy (Bifluorid 10, VOCO GmbH, Cuxhaven), stosując kulki z gąbki.


Ryc. 20, 21. Efekt końcowy.
Wnioski
Materiały kompozytowe w kolorze zęba pozwalają na odbudowę odcinka przedniego podczas jednej wizyty w sposób, który w dużej mierze oszczędza tkanki twarde (25). Przy odpowiednich wskazaniach, prawidłowej analizie estetycznej, skrupulatnej technice nakładania warstwowego i odpowiednim poziomie umiejętności manualnych lekarza, w wielu wymagających sytuacjach klinicznych konkurują one z wykonywanymi w pracowni protetycznej uzupełnieniami pełnoceramicznymi (licówki, korony).
Prof. dr Juergen Manhart, DDS
Manhart Dental Academy, Monachium
Piśmiennictwo:
1. Ferracane JL. Resin composite – state of the art. Dent Mater. 2011; 27(1): 29-38.
2. Pitel ML. Low-shrink composite resins: a review of their history, strategies for managing shrinkage, and clinical significance. Compend Contin Educ Dent. 2013; 34(8): 578-590.
3. Fahl N Jr, Paravina RD. Direct composite restorations – the ugly duckling classic. J Dent. 2013; 41 Suppl 5: e1-e2.
4. Fahl N Jr, Denehy GE, Jackson RD. Protocol for predictable restoration of anterior teeth with composite resins. Pract Periodontics Aesthet Dent. 1995; 7(8): 13-21.
5. Fahl N Jr. Predictable aesthetic reconstruction of fractured anterior teeth with composite resins: a case report. Pract Periodontics Aesthet Dent. 1996; 8(1): 17-31.
6. Vanini L. Light and color in anterior composite restorations. Pract Periodontics Aesthet Dent. 1996; 8(7): 673-682.
7. Vanini L, Mangani FM. Determination and communication of color using the five color dimensions of teeth. Pract Proced Aesthet Dent. 2001; 13(1): 19-26.
8. Dietschi D. Free-hand bonding in the esthetic treatment of anterior teeth: creating the illusion. J Esthet Dent. 1997; 9(4): 156-164.
9. Dietschi D. Layering concepts in anterior composite restorations. J Adhes Dent. 2001; 3(1): 71-80.
10. Dietschi D. Free-hand bonding: the ultimate treatment modality to enhance smiles in young patients. Australas Dent Pract. 2012; 1: 150-154.
11. Baratieri LN, Araujo E, Monteiro S Jr. Color in natural teeth and direct resin composite restorations: essential aspects. Eur J Esthet Dent. 2007; 2(2): 172-186.
12. Allgeier S, Hahn B, Krastl G. Direkte Frontzahnrestaurationen aus Komposit. wissen kompakt. 2019; 13(3): 103-114.
13. Wolff D. Ästhetische Rehabilitation mit direkten Kompositrestaurationen im Frontzahnbereich. wissen kompakt. 2013; 7(4): 29-40.
14. Frese C, et al. Recontouring teeth and closing diastemas with direct composite buildups: a 5-year follow-up. J Dent. 2013; 41(11): 979-985.
15. LeSage BP. Aesthetic anterior composite restorations: a guide to direct placement. Dent Clin North Am. 2007; 51(2): 359-378.
16. Mackenzie L, et al. Direct anterior composites: a practical guide. Dent Update. 2013; 40(4): 297-308.
17. Okuda WH. Minimally invasive dentistry and its impact on esthetic restorative dentistry. Gen Dent. 2013; 61(5): 24-26.
18. Brackett MG, et al. The effect of light curing source on the residual yellowing of resin composites. Oper Dent. 2007; 32(5): 443-450.
19. Cook WD. Photopolymerization kinetics of dimethacrylates using the camphorquinone/amine initiator system. Polymer. 1992; 33(3): 600-609.
20. Ardu S, et al. Influence of water sorption on resin composite color and color variation amongst various composite brands with identical shade code: an in vitro evaluation. J Dent. 2011; 39 Suppl 1: e37-e44.
21. Ferracane JL, et al. Academy of Dental Materials guidance – Resin composites: Part II – Technique sensitivity (handling, polymerization, dimensional changes). Dent Mater. 2017; 33(11): 1171-1191.
22. Kamoun EA, et al. Carboxylated camphorquinone as visible-light photoinitiator for biomedical application: synthesis, characterization, and application. Arab J Chem. 2016; 9(5): 745-754.
23. Sakaguchi RL, Ferracane J, Powers JM. Craig’s Restorative Dental Materials. 14th ed. St. Louis: Elsevier; 2019.
24. de Goes MF, Shinohara MS, Freitas MS. Performance of a new one-step multi-mode adhesive on etched vs non-etched enamel on bond strength and interfacial morphology. J Adhes Dent. 2014; 16(3): 243-250.
25. Hanabusa M, et al. Bonding effectiveness of a new ‘multi-mode’ adhesive to enamel and dentine. J Dent. 2012; 40(6): 475-484.
26. McLean DE, et al. Enamel bond strength of new universal adhesive bonding agents. Oper Dent. 2015; 40(4): 410-417.
27. Takamizawa T, et al. Influence of different etching modes on bond strength and fatigue strength to dentin using universal adhesive systems. Dent Mater. 2016; 32(2): e9-e21.
28. Wagner A, et al. Bonding performance of universal adhesives in different etching modes. J Dent. 2014; 42(7): 800-807.
29. Lenzi TL, et al. Bonding performance of a multimode adhesive to artificially-induced caries-affected primary dentin. J Adhes Dent. 2015; 17(2): 125-131.
30. Loguercio AD, et al. A new universal simplified adhesive: 36-month randomized double-blind clinical trial. J Dent. 2015; 43(9): 1083-1092.
31. Munoz MA, et al. In vitro longevity of bonding properties of universal adhesives to dentin. Oper Dent. 2015; 40(3): 282-292.
32. Willhite C. Composite Bonding: The “Structure” Course. Handout. New England Academy of Cosmetic Dentistry; 2014.
33. Fahl N Jr. A polychromatic composite layering approach for solving a complex Class IV/direct veneer-diastema combination: part I. Pract Proced Aesthet Dent. 2006; 18(10): 641-645.